- Research article
- Open Access
- Published:
Frequency and severity of myocardial perfusion abnormalities using Tc-99m MIBI SPECT in cardiac syndrome X
BMC Nuclear Medicine volume 6, Article number: 1 (2006)
Abstract
Background
Cardiac syndrome X is defined by a typical angina pectoris with normal or near normal (stenosis <40%) coronary angiogram with or without electrocardiogram (ECG) change or atypical angina pectoris with normal or near normal coronary angiogram plus a positive none-invasive test (exercise tolerance test or myocardial perfusion scan) with or without ECG change. Studies with myocardial perfusion imaging on this syndrome have indicated some abnormal perfusion scan. We evaluated the role of myocardial perfusion imaging (MPI) and also the severity and extent of perfusion abnormality using Tc-99m MIBI Single Photon Emission Computed Tomography (SPECT) in these patients.
Methods
The study group consisted of 36 patients with cardiac syndrome X. The semiquantitative perfusion analysis was performed using exercise Tc-99m MIBI SPECT. The MPI results were analyzed by the number, location and severity of perfusion defects.
Results
Abnormal perfusion defects were detected in 13 (36.10%) cases, while the remaining 23 (63.90%) had normal cardiac imaging. Five of 13 (38.4%) abnormal studies showed multiple perfusion defects. The defects were localized in the apex in 3, apical segments in 4, midventricular segments in 12 and basal segments in 6 cases. Fourteen (56%) of all abnormal segments revealed mild, 7(28%) moderate and 4 (16%) severe reduction of tracer uptake. No fixed defects were identified. The vessel territories were approximately the same in all subjects. The Exercise treadmill test (ETT) was positive in 25(69%) and negative in 11(30%) patients. There was no consistent pattern as related to the extent of MPI defects or exercise test results.
Conclusion
Our study suggests that multiple perfusion abnormalities with different levels of severity are common in cardiac syndrome X, with more than 30 % of these patients having at least one abnormal perfusion segment. Our findings suggest that in these patients microvascular angina is probably more common than is generally believed.
Background
Syndrome X is defined by a typical angina pectoris with normal or near normal (<40% stenosis) coronary angiogram with or without ECG change or atypical angina pectoris with normal or near normal coronary angiogram plus a positive none-invasive test (exercise tolerance test or myocardial perfusion scan) with or without ECG changes [1, 2]. Patients with coronary artery spasm (Prinzmetal's or variant angina), left ventricular hypertrophy, systemic hypertension, and valvular heart disease are not included in this syndrome [3]. The term "Microvascular Angina" (MVA) includes all such patients with coronary microcirculatory derangements but with normal coronary angiograms irrespective of the presence or absence of exercise-induced ST segment depression [4].
The exact pathophysiological mechanisms underlying this condition are not well understood, and many mechanisms for the chest pain have been suggested. In some studies, microvascular dysfunction has been proposed as the cause [4–7] whereas in others, metabolic abnormalities, such as net myocardial lactate production have been demonstrated [8–12]. Noninvasive imaging has been used to determine whether ischemia is present or not. Controversial findings have been reported regarding left ventricular function in MVA. Though regional wall motion abnormalities have been reported using stress nuclear techniques, two dimensional echocardiography has not disclosed any segmental contractile dysfunction [13]. Some studies in which positron-emission tomography (PET) was used have shown abnormal heterogeneity in perfusion [14, 15] whereas others have shown no abnormality [16, 17]. However, the possibility of the development of exercise induced ischemia in these patients is supported by the fact that approximately two-thirds of the patients develop regional abnormalities of left ventricular contraction or show an abnormal ejection fraction response (i.e., less than 5% increment) following exercise [18].
Tl-201 scintigraphy has been employed in the investigation of patients with syndrome X, and often shows regional defects after stress [19–21]. However, the physical limitations due to lower energy emission of Tl-201 as a myocardial perfusion agent have long been recognized [22–25] yielding inconsistent results [19, 26]. The development of new and higher energy emission Tc-99m labeled agents, such as Tc-99m MIBI, significantly improved image quality and eliminated false-positives results in Tl-201 SPECT [25, 27]. Although, in these patients the diagnosis of microvascular involvement as a "yes-no" binary outcome may be adequate for further management, however, information on both the presence and extent of coronary artery disease (CAD) are desirable, as both have implications in assessment of prognosis or selection of therapy [28–30]. In this study we evaluated myocardial perfusion in syndrome X, using Tc-99m MIBI SPECT.
Methods
Participants and study design
The study included 23 females aged 42–58 years (mean 49.86 ± 6.32 [SD] y) and 13 males ranging from 40–59 years (mean, 49 ± 4.61 [SD] y) who had syndrome X. The patients were recruited from the cardiology Clinic at our Hospital from January 2004 to may 2005. This study was approved by the institutional ethics committee of Tehran university of medical science and all patients gave written informed consent.
All patients had a previously established diagnosis of syndrome X, according to the following two criteria; 1- typical history of angina (substernal burning, heavy or squeezing feeling, precipitated by exertion or emotion and promptly relieved by rest or nitroglycerin)[31] and normal coronary angiography (stenosis less than 40%) 2- atypical chest pain (located in the left side of the chest, abdomen, back or arm in the absence of mid-chest sharp, fleeting, recurrent or very prolonged pain unrelated to exercise; not relieved by rest or nitroglycerin but responded to antiacids, or characterized by palpitations without chest pain[31]) with an abnormal exercise electrocardiogram (0.1 mV horizontal or downsloping ST segment depression of 80 msec after the J point) or myocardial perfusion image and completely normal results on coronary angiography, with no inducible spasm on ergonovine-provocation test. In case of the patients with atypical chest pain, other causes especially gastro-esophageal disorders that can mimic this pattern were excluded. None of the patients had diabetes, hypertension, left ventricular hypertrophy (defined as a value above 35 mm for the sum of the heights of the S wave in lead V1 and R wave in lead V5), valvular heart disease, congestive heart failure (CHF), history of myocardial infarction, mitral valve prolapse, left bundle branch block(LBBB), congenital heart disease (CHD), cardiomyopathy, ejection fraction less than 55% in echocardiography or demonstrated any remarkable change in clinical condition during the investigations. Fifteen out of 36 cases had typical whereas other 21 had atypical chest pain. The patients with syndrome X were taking calcium-channel blockers (10), nitrates (8), hormone-replacement therapy (7), beta-blockers (8), potassium-channel openers (5), or no treatment (1 patient). Some of our patients were on more than one medication.
Myocardial SPECT imaging & analysis
Patients fasted overnight and all cardiovascular drugs were discontinued at least 2 days before the study. All patients were asked to exercise on a treadmill under a standard Bruce protocol. At the achieved peak heart rate (more than 85% the age-predicted maximum heart rate), appearance of typical angina and/or positive exercise ECG findings, 20 mCi Tc-99m MIBI as a compact bolus was injected. The exercise test was considered to be positive if there was a horizontal or downsloping ST segment depression more than 1 mm for 80 microseconds after the J point. An intravenous line of normal saline solution, with a 20-gauge cannula was positioned in an antecubital vein. Imaging was performed 15–30 minutes after exercise. On the next day 60 minutes after injection of 20 mCi Tc-99m MIBI, the patients were asked to eat a fatty meal to accelerate hepatobiliary clearance of Tc-99m MIBI. The resting SPECT was performed 90 minutes after Tc-99m MIBI injection. SPECT images were obtained using a double detector system (ADAC Genesys Malpitas, CA, USA) with low-energy, all purpose (LEAP) collimator. For Tc-99m MIBI SPECT, a symmetric 15% window was centered at 140 KeV, and images were acquired into a 64 × 64 computer matrix through a 180° rotation, at an angular interval of 6° from RAO 45° to LPO 45°. Reconstruction was performed by a standard back projection method using a Butterworth Filter for a 64 × 64 matrix image. Acquisition parameters were identical for the rest and stress studies.
Interpretation was made on the basis of a left ventricular polar-plot segmentation according to the 17-segment model [32] [Fig 1]. This was done by two observers who had no previous knowledge of the patients' histories, results of exercise ECG, or coronary angiograms. The uptake in each of these segments was assessed as normal, mild (= equivocal), moderate, severe or absent [33].
A. A polar-plot depiction of the left ventricular segmentation according to the 17-segment model. The recommended nomenclature is noted for each segment below. B. The 17-segment model, obtained by three individual short-axis slices as well as one midcavity vertical long-axis slice. A depiction of the coronary artery distribution is also noted.
Coronary arteriography
Coronary arteriography was performed with a monoplane imaging system and recorded on conventional 35 mm film. Angiographic images were visually assessed by two readers who were blind to MPI data.
Statistical analysis
The statistical analysis was performed with the use of SPSS version 11.5. Data are presented as the mean ± one standard deviation. Chi square test was also applied. A p value < 0.05 was considered to be statistically significant.
Results
Thirteen patients out of 36 (36.1%) showed abnormal myocardial perfusion scan. Of the 23 females patients, 9 (39.1%) had abnormal Tc-99m MIBI SPECT and 14 (60.9%) showed normal scan. Of the 13 males 4 (30.8%) showed abnormal and 9(69.2%) cases revealed normal studies. There was no significant difference between two genders (p value > 0.05). Of the 9 positive female patients, 3 (33.33%) cases showed multiple perfusion defects and 6(66.66%) cases revealed single localized perfusion abnormality. Of the 4 males with positive scan 2 (50%) cases revealed multiple and 2 (50%) single perfusion defects. The defects were localized in the apex in 3, the apical segments in 4, the midventricular segments in 12 and in the basal segments in 6 cases. All patients had reversible perfusion abnormality and none of them had transient left ventricular dilation (TLV). The involvement of three vessel territories approximately were the same(LAD;8, RCA;9 and LCX;8). In the cases with multiple perfusion defects, the ischemic pattern was distributed throughout the different segment of myocardium. The detailed data of uptake reduction are shown in table 1 and a sample picture is presented [Fig. 2]. Exercise treadmill test (ETT) was performed in this study as a part of the protocol. The results of ETT were positive in 25 (69%) patients and negative in 11(30%). 65% of the results of the exercise ECG were not concordant with perfusion defects found on myocardial perfusion imaging.
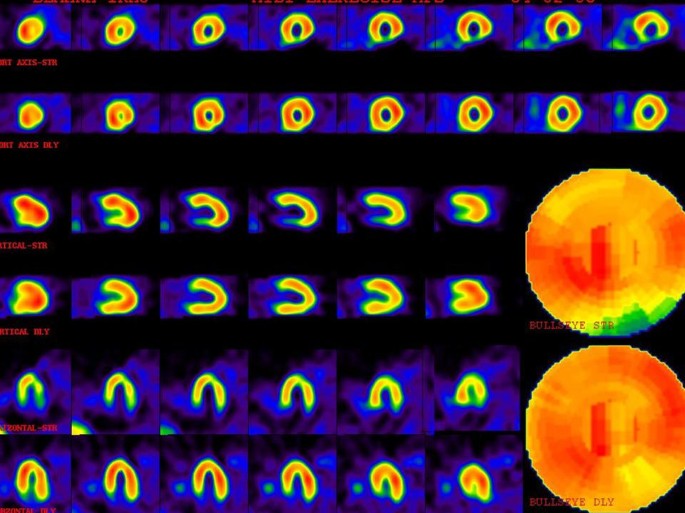
A patient with multiple perfusion defects with different degrees of severity. The upper images are stress phase and lower images are rest or delayed images. There is moderate ischemia in the mid anterolateral and mid inferolateral walls. Also there is severe ischemia in the basal inferior wall. Mild ischemia in the apex, apical septal and basal anterolateral are also noted.
Discussion
Investigations over the past two decades have not revealed a specific cause for syndrome X. In the presence of normal coronary arteries, many explanations have been put forth to explain myocardial ischemia, including small vessel abnormalities, coronary artery spasm, cardiomyopathy, metabolic abnormalities, misinterpretation of the coronary angiograms, impaired coronary flow reserve, oxyhemoglobin dissociation defects, psychosomatic factors, altered pain perception, increased sympathetic drive, and endothelial dysfunction [33, 34]. It is now acknowledged that syndrome X most likely encompasses several pathophysiologic diseases. Since the introduction of the term syndrome X, many investigators have used the term with different criteria as to its definition, to create a more homogeneous group of patients. Our results suggest that multiple perfusion defects with different severity and distribution are relatively common in cardiac syndrome X, with the majority of these patients having at least one abnormal perfusion segment. Thus, 36 % of our patients with angina pectoris, who had no evidence of significant organic stenosis on their coronary angiograms, exhibited exercise-induced perfusion defects in their Tc 99m-MIBI scintigrams. In a review of the literature, a number of authors have reported different results when using conventional Tl-201 myocardial perfusion imaging. Berger et al reviewed the exercise Tl-201 scans and clinical data of 41 patients with chest pain and normal coronary arteries (a broad definition of syndrome X). A negative Tl-201 study was the most common finding. Of the 41 patients, 11 (27%) had abnormal exercise Tl-201 scans. Of the 11 patients with abnormal scans, 9 had greater than or equal to 1 cardiac abnormality [19]. Tweddel et al (1992) studied 100 patients with normal arteriograms (a broad definition of syndrome X) undergoing diagnostic angiography for typical angina. Thallium defects were found in 98 patients (a very high incidence) [20]. Legrand et al (1985) studied the results of exercise Tl-201 scintigraphy in 18 patients with chest pain and angiographically normal coronary arteries (a broad definition of syndrome X). Regional exercise Tl-201 perfusion was abnormal in three patients [21]. Chia-Hung et al (1996) reviewed the stress Tc-99m MIBI SPECT results and clinical data of 15 patients with syndrome X. The results of exercise ECG and resting left ventricular ejection fraction (LVEF) were compared with the results of Tc-99m MIBI SPECT. Of these 15 patients, 9 (60%) had a normal Tc-99m MIBI SPECT study and 6 (40%) had an abnormal Tc-99m MIBI SPECT [35]. Recently Cavusoglu et al (2005) have evaluated the regional distribution and extent of perfusion abnormalities, and the lung to heart (L: H) uptake ratios using exercise thallium-201 SPECT in 31 patients. They showed that perfusion abnormalities are relatively common in these patients. Also patients with perfusion abnormalities have significantly higher L: H ratios during exercise than control patients [36]. Jonathan et al (2002) performed myocardial-perfusion cardiovascular magnetic resonance imaging in 20 patients with syndrome X and 10 matched controls, both at rest and during an infusion of adenosine. Quantitative perfusion analysis was performed using the normalized upslope of myocardial signal enhancement to derive the myocardial perfusion index and the myocardial-perfusion reserve index (defined as the ratio of the myocardial perfusion index during stress to that at rest). Following adenosine, control group revealed increased myocardial perfusion in subendocardial and subepicardial layers of myocardium but there was only increased perfusion in subepicardium in patients with syndrome X without any detectable change in the subendocardial layer [37]. In our study, 69 % of exercise tests were abnormal which is similar to the study by Cannon et al (1985) [18]. In this study, we tried to match coronary anatomy with perfusion segments to localize CAD to the level of small vessels, its potential application being in serial studies, following surgical or percutaneous revascularization interventions, and in patients without an established diagnosis of CAD to identify small sized ischemia or infarctions, not detectable by angiography. Our study suggests that SPECT MPI can be used to identify small perfusion defects pointing to the presence of CAD and also suggests that this procedure may have value in the assessment of the physiological significance of small vessel stenosis not identifiable by coronary angiography. We noticed that the ischemic regions in patients with multiple perfusion defects are distributed in the different myocardial segments as previously reported by other investigators [38].
Furthermore, ischemia may not necessarily be localized to an entire myocardial area as in patients with epicardial coronary stenosis.
Indeed myocardial ischemia may be patchily distributed in small areas of myocardium. In these patients, small areas of hypoperfusion were patchily distributed in different anatomic sites, spreading among nonischemic areas, able to compensate for the dysfunction of adjacent myocardium. This pattern is clearly different from that of patients with coronary artery disease, whereas the hypoperfused areas are clustered in the anatomic regions supplied by the stenotic arteries [38].
In addition, in theses patients inappropriate constriction of prearteriolar vessels may be postulated to be sparse in the myocardium and to be non uniform with the possibility that only a minority of these vessels are intensely constricted. Thus, during increased myocardial activity a focal and spotty myocardial ischemia can result although electrocardiographic signs, metabolism and function are found to be within normal limits. Similarly, a focal increase in myocardial adenosine concentration may cause anginal pain even in the absence of significant myocardial ischemia. Depending on the percentage of involvement of prearteriolar abnormality reduced coronary flow reserve and the presence of detectable myocardial ischemia by nuclear scan may vary widely [39].
The patients in our study had well-characterized syndrome X; however, other conditions may lead to microvascular dysfunction, and similar findings might be found in patients with hypertension, hypertrophic conditions, CHD, CHF, LBBB, MVP, valvular diseases, cardiomyopathy or diabetes. Therefore, we excluded patients with these conditions from our study. Although there is predominance of female to male patients (23/13) referred to our hospital, the scan abnormalities are almost similar in both genders (39% Vs 38%). The prognostic implications of the identification of microvessel disease are uncertain. Although one may expect that, if the total myocardium at risk is small, the patient's prognosis will be favorable, the significance of CAD in multiple branches has not been assessed. Our study did not address the prognostic implications of branch vessel disease, as detected by SPECT MPI. Further studies are needed to follow these patients and determine the prognostic significance of these interesting findings.
Finally it should be emphasized that our study is not free of drawbacks. Since the sensitivity of SPECT as compared to PET for the assessment of myocardial ischemia is less than optimal, the absence of documented myocardial ischemia does not allow for the exclusion with certainty of cardiac and/or ischemic genesis of anginal pain in those remaining patients, in whom nuclear scan was normal [40].
Conclusion
Our results support the concept that the chest pain in patients with syndrome X may be related to myocardial ischemia. Myocardial perfusion defects revealed by scintigraphy in 13 out of 36 (36 %) patients with angina and normal coronary arteriograms, raises the possibility of microvascular angina as the cause of chest pain. The term "microvascular angina" is commonly used in these patients; however, the cardiologists should be cautioned when confronting cases with discordant scintigraphic and angiographic findings.
References
- 1.
Kemp HG, Kronmal RA, Vlietstra RE, Frye RL: Seven-year survival of patients with normal or near normal coronary arteriograms: A CASS registry study. J Am Coll Cardiol. 1986, 7: 479-483.
- 2.
Kemp HG: Left ventricular function in patients with the anginal syndrome and normal coronary arteriograms. Am J Cardiol. 1973, 32: 375-376. 10.1016/S0002-9149(73)80150-X.
- 3.
Kaski JC, Crea F, Nihoyannopoulos P, Hackett D, Maseri A: Transient myocardial ischemia during daily life in patients with syndrome X. Am J Cardiol. 1986, 58: 1242-1247. 10.1016/0002-9149(86)90390-5.
- 4.
Cannon RO, Epstein SE: Microvascular angina as a cause of chest pain with angiographically normal coronary arteries. Am J Cardiol. 1988, 61: 1338-1343. 10.1016/0002-9149(88)91180-0.
- 5.
Cannon RO, Watson RM, Rosing DR, Epstein SE: Angina caused by reduced vasodilator reserve of the small coronary arteries. J Am Coll Cardiol. 1983, 1: 1359-1373.
- 6.
Bellamy MF, Goodfellow J, Tweddel AC, Dunstan FDJ, Lewis MJ, Henderson AH: Syndrome X and endothelial dysfunction. Cardiovasc Res. 1998, 40: 410-417. 10.1016/S0008-6363(98)00184-9.
- 7.
Maseri A, Crea F, Kaski JC, Crake T: Mechanisms of angina pectoris in syndrome X. J Am Coll Cardiol. 1991, 17: 499-506.
- 8.
Arbogast R, Bourassa MG: Myocardial function during atrial pacing in patients with angina pectoris and normal coronary arteriograms: comparisons with patients having significant coronary artery disease. Am J Cardiol. 1973, 32: 257-263. 10.1016/S0002-9149(73)80130-4.
- 9.
Boudoulas H, Cobb TC, Leighton RF, Wilt SM: Myocardial lactate production in patients with anginalike chest pain and angiographically normal coronary arteries and left ventricle. Am J Cardiol. 1974, 34: 501-505. 10.1016/0002-9149(74)90118-0.
- 10.
Opherk D, Zebe H, Weihe E, Mall G, Durr C, Gravert B, Mehmel HC, Schwarz F, Kubler W: Reduced coronary dilatory capacity and ultrastructural changes of the myocardium in patients with angina pectoris but normal coronary arteriograms. Circulation. 1981, 63: 817-825.
- 11.
Greenberg MA, Grose RM, Neuburger N, Silverman R, Strain JE, Cohen MV: Impaired coronary vasodilator responsiveness as a cause of lactate production during pacing-induced ischaemia in patients with angina pectoris and normal coronary arteries. J Am Coll Cardiol. 1987, 9: 743-751.
- 12.
Opherk D, Schuler G, Wetterauer K, Manthey J, Schwarz F, Kubler W: Four-year follow-up study in patients with angina pectoris and normal coronary arteriograms ("syndrome X"). Circulation. 1989, 80: 1610-1616.
- 13.
Kaski JC, Elliot PM: Angina pectoris and normal coronary arteriograms: Clinical presentation and hemodynamic characteristics. Am J Cardiol. 1995, 76: 35-42. 10.1016/S0002-9149(99)80490-1.
- 14.
Galassi AR, Crea F, Araujo LI, Lammertsma AA, Pupita G, Yamamoto Y, Rechavia E, Jones T, Kaski JC, Maseri A: Comparison of regional myocardial blood flow in syndrome X and one-vessel coronary artery disease. Am J Cardiol. 1993, 72: 134-139. 10.1016/0002-9149(93)90148-6.
- 15.
Meeder JG, Blanksma PK, Crijns HJ, Anthonio RL, Pruim J, Brouwer J, de Jong RM, van der Wall EE, Vaalburg W, Lie KI: Mechanisms of angina pectoris in syndrome X assessed by myocardial perfusion dynamics and heart rate variability. Eur Heart J. 1995, 16: 1571-1577.
- 16.
Camici PG, Gistri R, Lorenzoni R, Sorace O, Michelassi C, Bongiorni MG, Salvadori PA, L'Abbate A: Coronary reserve and exercise ECG in patients with chest pain and normal coronary angiograms. Circulation. 1992, 86: 179-186.
- 17.
Rosen SD, Uren NG, Kaski JC, Tousoulis D, Davies GJ, Camici PG: Coronary vasodilator reserve, pain perception, and sex in patients with syndrome X. Circulation. 1994, 90: 50-60.
- 18.
Cannon RO, Bonow RO, Bacharach SL, Green MV, Rosing DR, Leon MB, Watson RM, Epstein SE: Left ventricular dysfunction in patients with angina pectoris, normal epicardial coronary arteries and abnormal vasodilator reserve. Circulation. 1985, 71: 218-226.
- 19.
Berger BC, Abramowitz R, Park CH, Desai AG, Madsen MT, Chung EK, Brest AN: Abnormal thallium-201 scans in patients with chest pain and angiographically normal coronary arteries. Am J Cardiol. 1983, 52: 365-370. 10.1016/0002-9149(83)90140-6.
- 20.
Tweddel AC, Martin W, Hutton I: Thallium scans in syndrome X. Br Heart J. 1992, 68: 48-50.
- 21.
Legrand V, Hodgson JM, Bates ER, Aueron FM, Mancini GB, Smith JS, Gross MD, Vogel RA: Abnormal coronary flow reserve and abnormal radionuclide exercise test results in patients with normal coronary angiograms. J Am Coll Cardiol. 1985, 6: 1245-1253.
- 22.
Dunn RF, Wolff L, Wagner S, Botvinick EH: The inconsistent pattern of thallium defects: A clue to the false positive perfusion scintigram. Am J Cardiol. 1981, 48: 228-232.
- 23.
Johnstone DE, Wackers FJT, Berger HJ, Hoffer PB, Kelley MJ, Gottschalk A, Zaret BI: Effect of patient positioning on left lateral thallium-201 myocardial imaging. J Nucl Med. 1979, 20: 183-188.
- 24.
Gordon DG, Pfisterer M, Williams R, Walaski S, Ashburn W: The effect of diaphragmatic attenuation on Tl-201 images. Clin Nucl Med. 1979, 4: 150-151.
- 25.
Wang SJ, Chen YT, Hwang CL, Lin MS, Kao CH, Yeh SH: 99mTc-sestamibi can improve the inferior attenuation of Tl-201 myocardial SPECT imaging. Int J Card Imaging. 1993, 9: 87-92. 10.1007/BF01151432.
- 26.
Meller J, Goldsmith SJ, Rudin A, Pichard AD, Gorlin R, Teichholz LE, Herman MV: Spectrum of exercise thallium-201 myocardial perfusion imaging in patients with chest pain and normal coronary angiograms. Am J Cardiol. 1979, 43: 717-723. 10.1016/0002-9149(79)90069-9.
- 27.
Wackers FJ, Berman DS, Maddahi J, Watson DD, Beller GA, Strauss HW, Boucher CA, Picard M, Holman BL, Fridrich R: Technetium-99m hexakis 2-methoxyisobutyl isonitrile: Human biodistribution, dosimetry, safety, and preliminary comparison to thallium-201 for myocardial perfusion imaging. J Nucl Med. 1989, 30: 301-311.
- 28.
Amanullah AM, Kiat H, Friedman JD, Berman DS: Adenosine technetium-99m sestamibi myocardial perfusion SPECT in women: diagnostic efficacy in detection of coronary artery disease. J Am Coll Cardiol. 1996, 27: 803-809. 10.1016/0735-1097(95)00550-1.
- 29.
Elhendy A, Sozzi FB, van Domburg RT, Bax JJ, Geleijnse ML, Valkema R, Krenning EP, Roelandt JR: Accuracy of exercise stress technetium 99m sestamibi SPECT imaging in the evaluation of the extent and location of coronary artery disease in patients with an earlier myocardial infarction. J Nucl Cardiol. 2000, 7: 432-438. 10.1067/mnc.2000.107426.
- 30.
Amanullah AM, Berman DS, Hachamovitch R, Kiat H, Kang X, Friedman JD: Identification of severe or extensive coronary artery disease in women by adenosine technetium-99m sestamibi SPECT. Am J Cardiol. 1997, 80: 132-137. 10.1016/S0002-9149(97)00306-8.
- 31.
Douglas PS, Ginsburg GS: The evaluation of chest pain in women. N Eng J Med. 1996, 333: 1311-1315. 10.1056/NEJM199605163342007.
- 32.
Chauhan A, Mullins PA, Thuraisingham SI, Petch MC, Schofield PM: Clinical presentation and functional prognosis in syndrome X. Br Heart J. 1993, 70: 346-351.
- 33.
Van Train KF, Garcia EV, Maddahi J, Areeda J, Cooke CD, Kiat H, Silagan G, Folks Friedman J, Matzer L: Multicenteric trial validation for quantitative analysis of same day rest-stress technetium-sestamibi myocardial tomograms. J Nucl Med. 1994, 35: 609-618.
- 34.
Bortone AS, Hess OM, Eberli FR, Nonogi H, Marolf AP, Grimm J, Krayenbuehl HP: Abnormal coronary vasomotion during exercise in patients with normal coronary arteries and reduced coronary flow reserve. Circulation. 1989, 79: 516-527.
- 35.
Kao , Chia-Hung , Wang , Shyh-Jen , Ting , Chih-Tai M, Chen , Ying-Tsung : Tc-99m Sestamibi Myocardial SPECT in Syndrome X. Clin Nucl Med. 1996, 21 (4): 280-283. 10.1097/00003072-199604000-00002.
- 36.
Cavusoglu Y, Entok E, Timuralp B, Vardareli E, Kudaiberdieva G, Birdane A, Gorenek B, Unalir A, Goktekin O, Ata N: Regional distribution and eXtent of perfusion abnormalities, and the lung to heart uptake ratios during exercise thallium-201 SPECT imaging in patients with cardiac syndrome X. Can J Cardiol. 2005, 21 (1): 57-62.
- 37.
Panting JR, Gatehouse PD, Yang GZ, Grothues F, Firmin DN, Collins P, Pennell DJ: Abnormal Subendocardial Perfusion in Cardiac Syndrome X Detected by ardiovascular Magnetic Resonance Imaging. N Eng J Med. 2002, 346 (25): 1948-1953. 10.1056/NEJMoa012369.
- 38.
Galassi AR, Crea F, Araujo LI, Lammertsma AA, Pupita G, Yamamoto Y, Rechavia E, Jones T, Kaski JC, Maseri A: Comparison of regional myocardial blood flow in syndrome X and one-vessel coronary artery disease. Am J Cardiol. 1993, 72 (2): 134-139. 10.1016/0002-9149(93)90148-6.
- 39.
Maseri A, Crea F, Kaski JC, Crake T: Mechanisms of angina pectoris in syndrome X. J Am Coll Cardiol. 1991, 17 (2): 499-506.
- 40.
Geltman EM, Henes CG, Senneff MJ, Sobel BE, Bergmann SR: Increased myocardial perfusion at rest and diminished perfusion reserve in patients with angina and angiographically normal coronary arteries. J Am Coll Cardiol. 1990, 16 (3): 586-595.
Pre-publication history
The pre-publication history for this paper can be accessed here:http://www.biomedcentral.com/1471-2385/6/1/prepub
Acknowledgements
This study was carried out with the sponsorship of Tehran University of Medical Sciences. We are indebted to Dr. Seyed Reza Arabi for his fruitful suggestions. Thanks are also extended to the nuclear medicine technologists at our institute for technical help and data acquisition.
Author information
Affiliations
Corresponding author
Additional information
Competing interests
The author(s) declare that they have no competing interests.
Authors' contributions
MS participated in the interpretation of the scintigraphic results. MA participated in its design and coordination, supervised the acquisition process, participated in the interpretation of the scintigraphic results and also participated in writing of this manuscript. ME supervised the acquisition process, interpreted the scintigraphic results and edited the manuscript. MY carried out angiography and interpreted exercise test. AFE supervised the acquisition process. JMM performed the statistical analysis. BFS, DB and AT supervised the acquisition process. All authors read and approved the final manuscript.
Authors’ original submitted files for images
Below are the links to the authors’ original submitted files for images.
Rights and permissions
About this article
Cite this article
Saghari, M., Assadi, M., Eftekhari, M. et al. Frequency and severity of myocardial perfusion abnormalities using Tc-99m MIBI SPECT in cardiac syndrome X. BMC Med Phys 6, 1 (2006). https://doi.org/10.1186/1471-2385-6-1
Received:
Accepted:
Published:
Keywords
- Single Photon Emission Compute Tomography
- Myocardial Perfusion
- Myocardial Perfusion Imaging
- Perfusion Defect
- Coronary Flow Reserve

